Smile Gallery

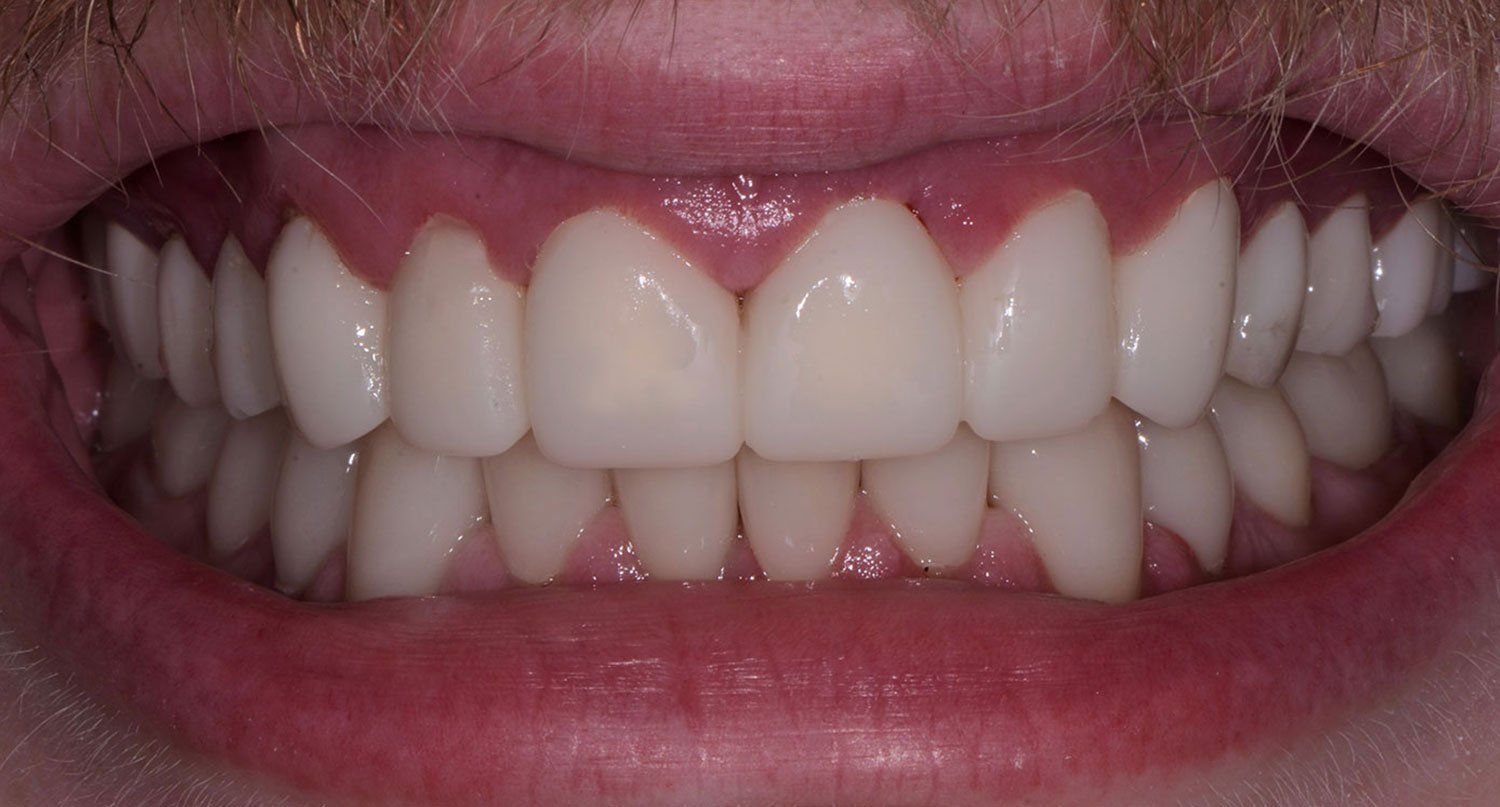
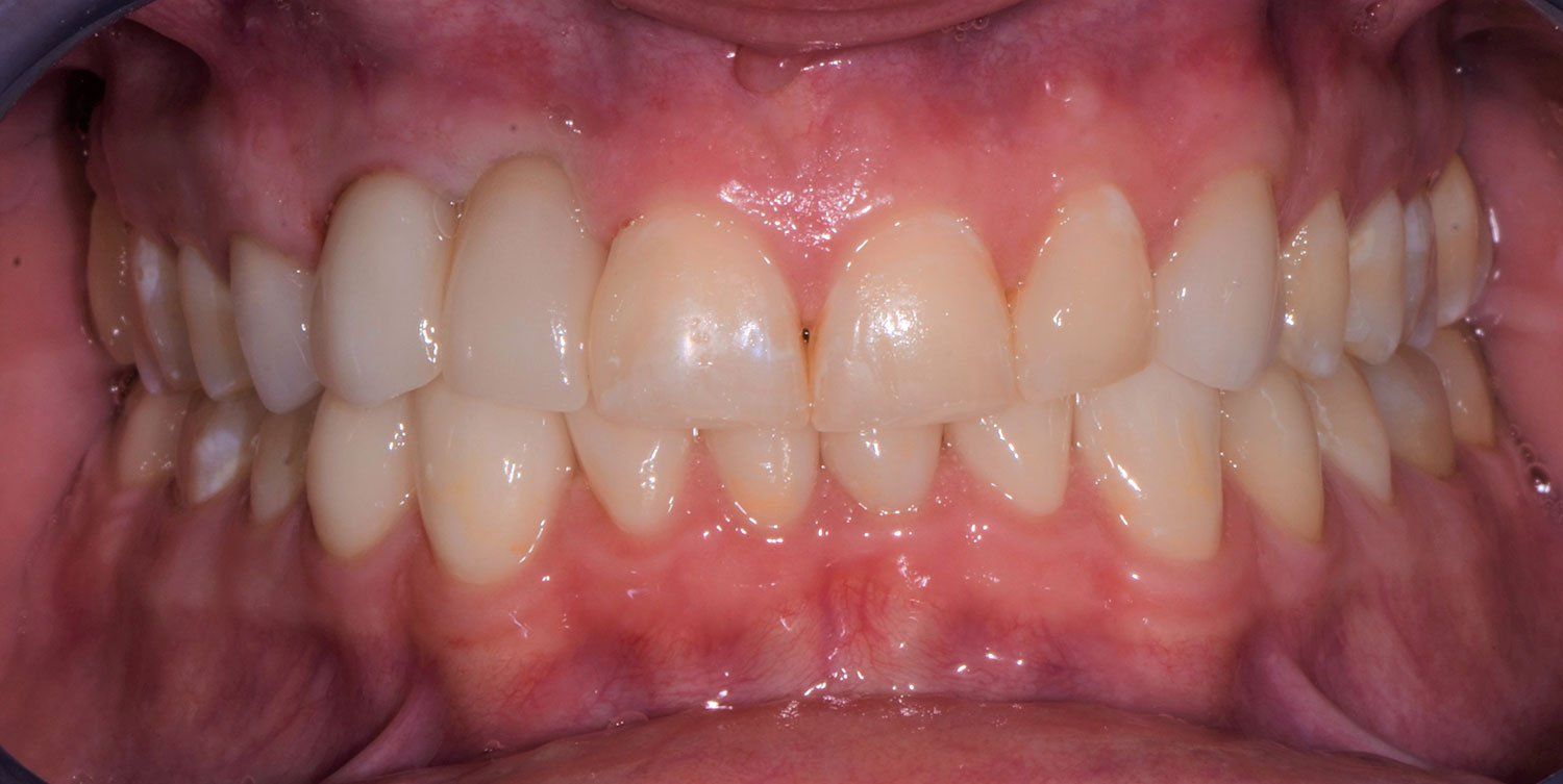
Full Face / Dental Implants

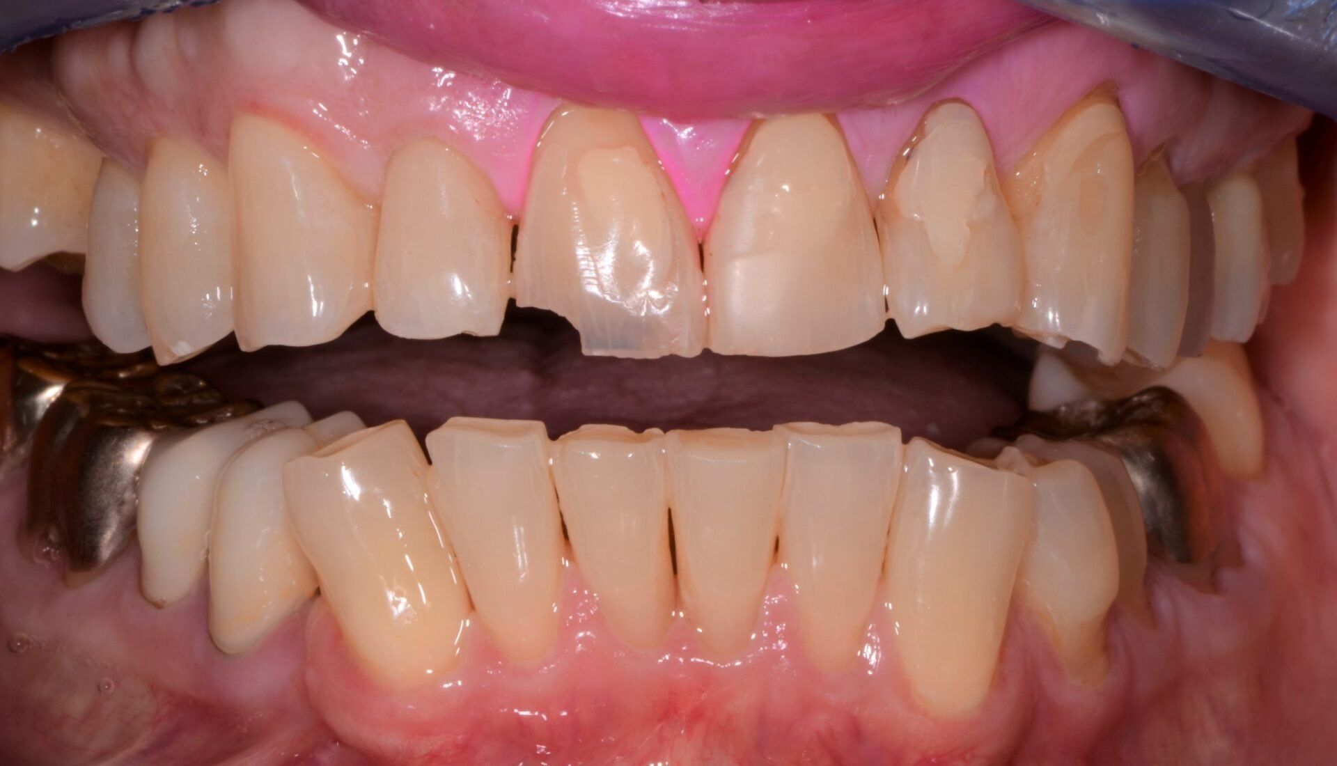
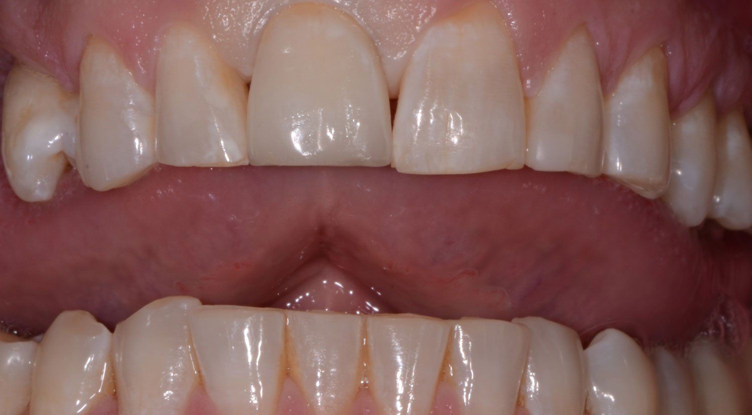
implant before and after

Before & After

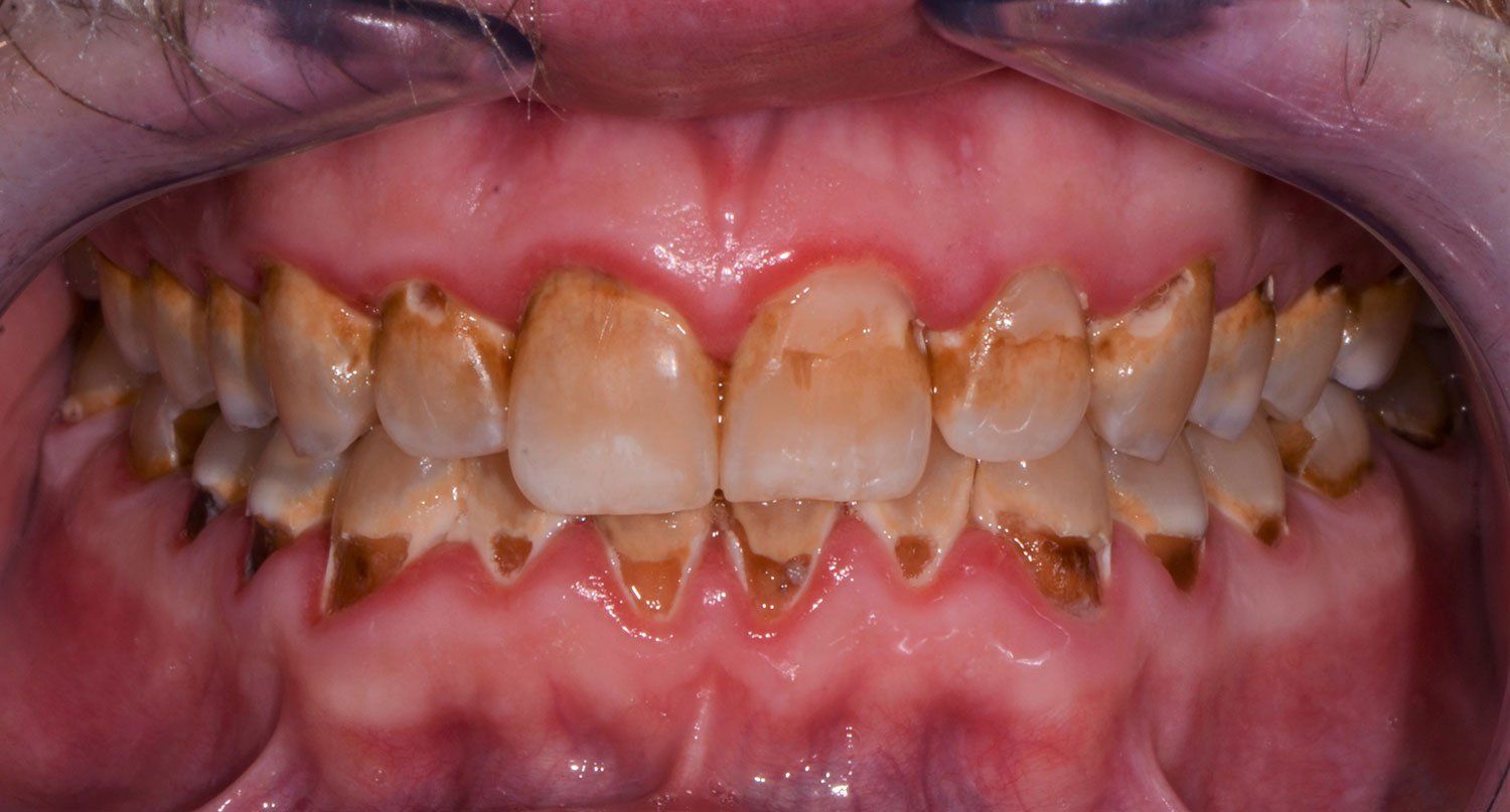
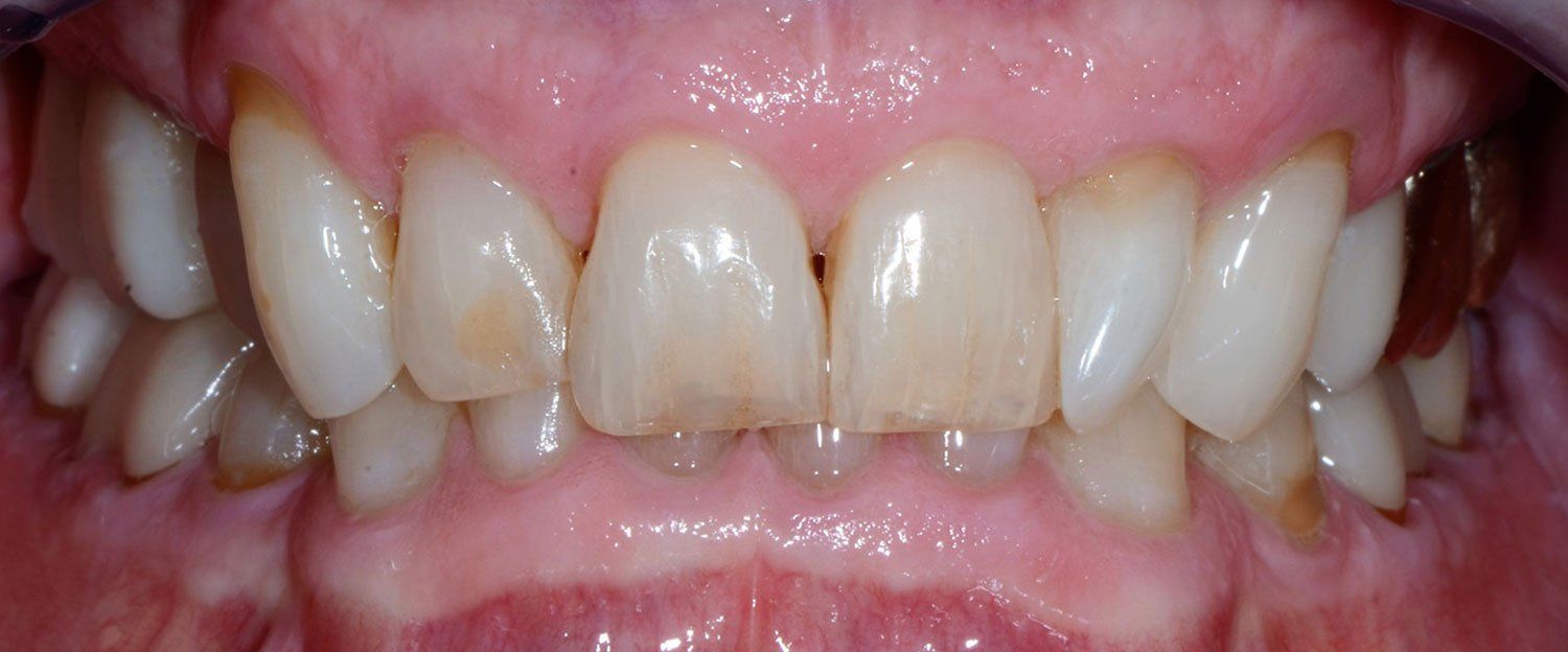
implant before and after

Before & After

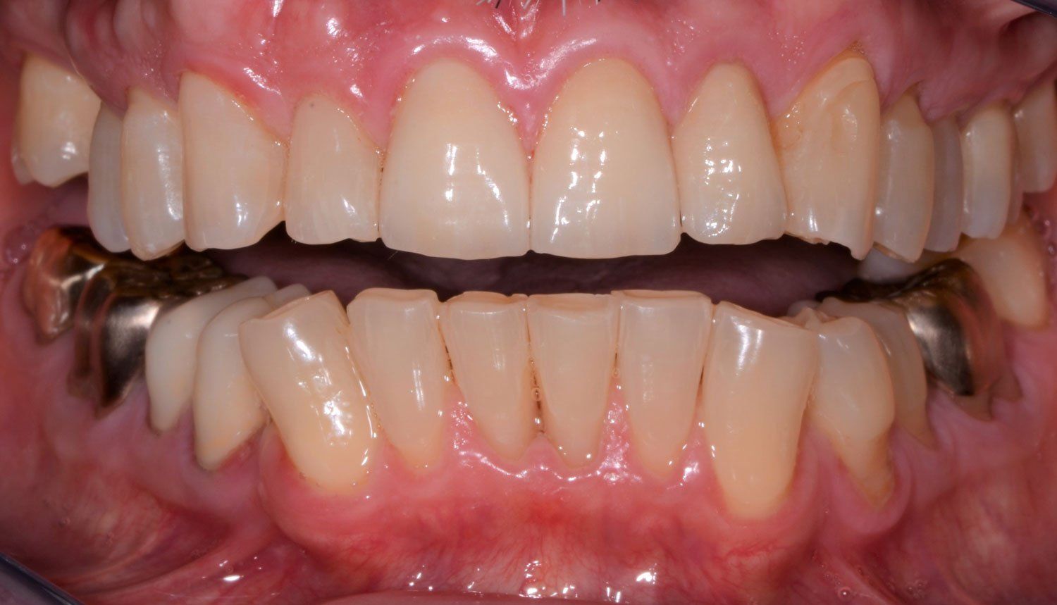
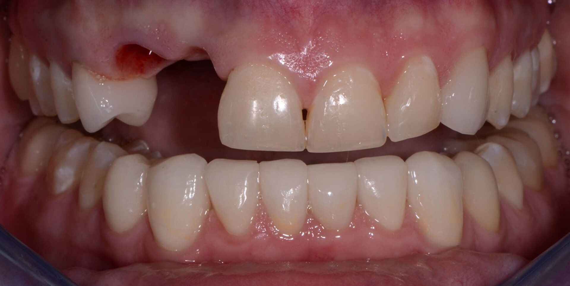
before and after

Before & After

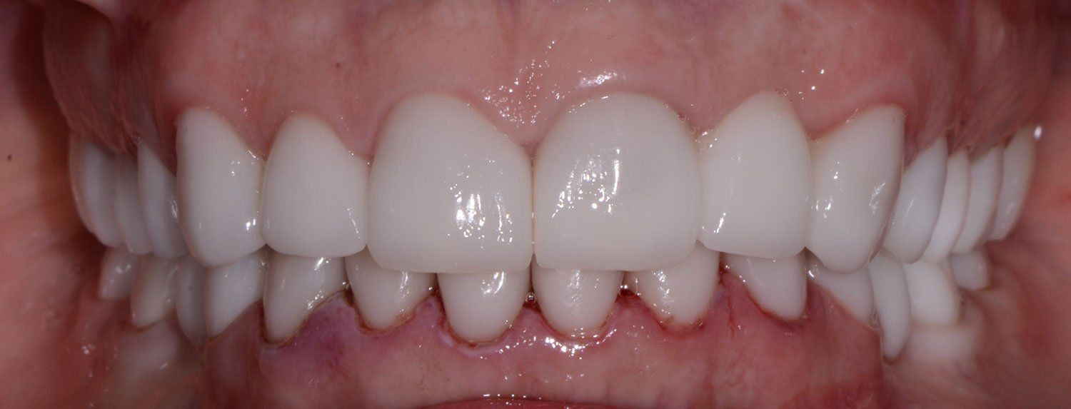
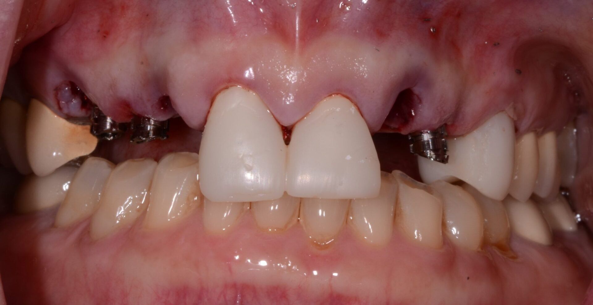
before and after

Before & After

before and after

Before & After

before and after

Before & After

implants before and after

Before & After

before and after

Before & After

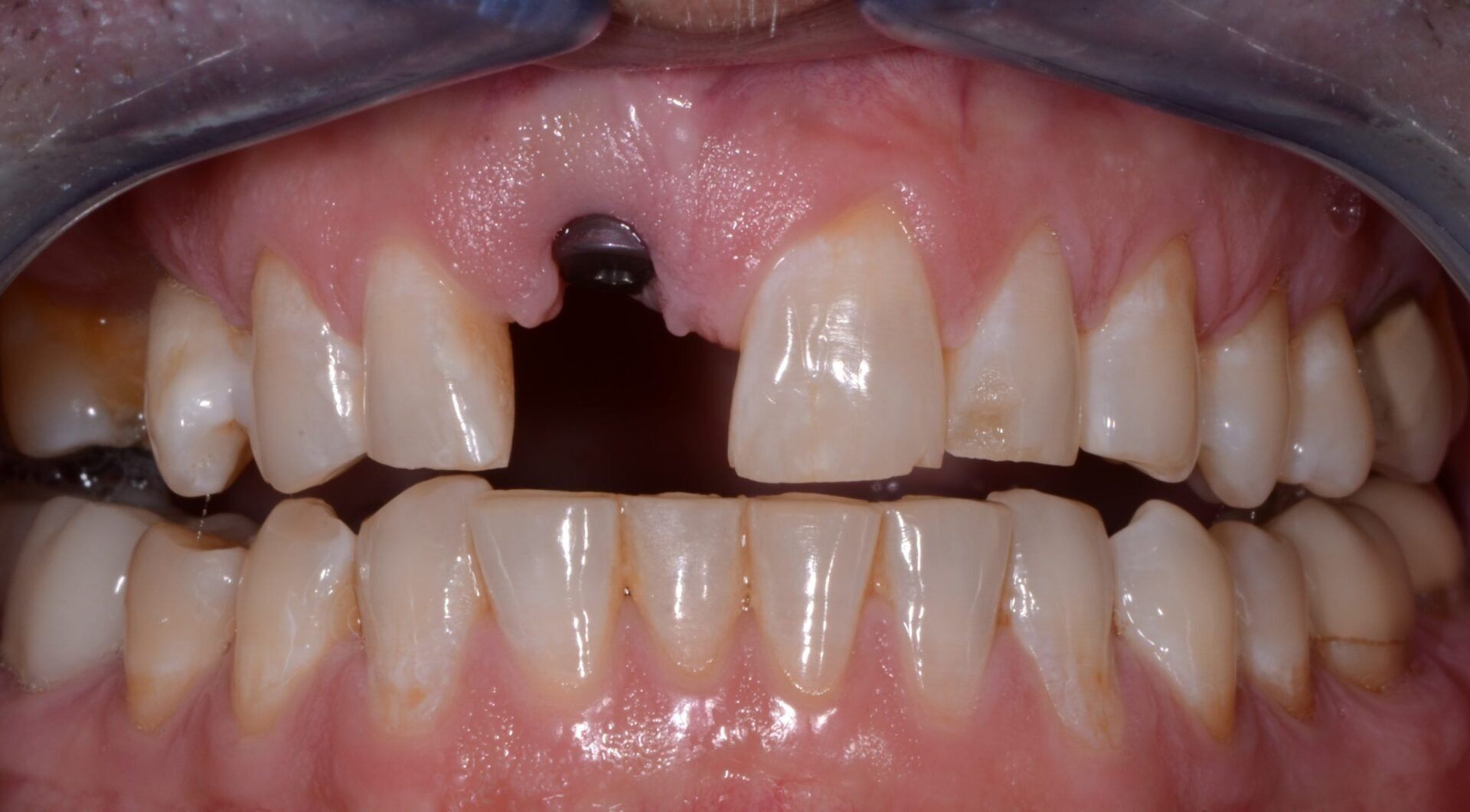
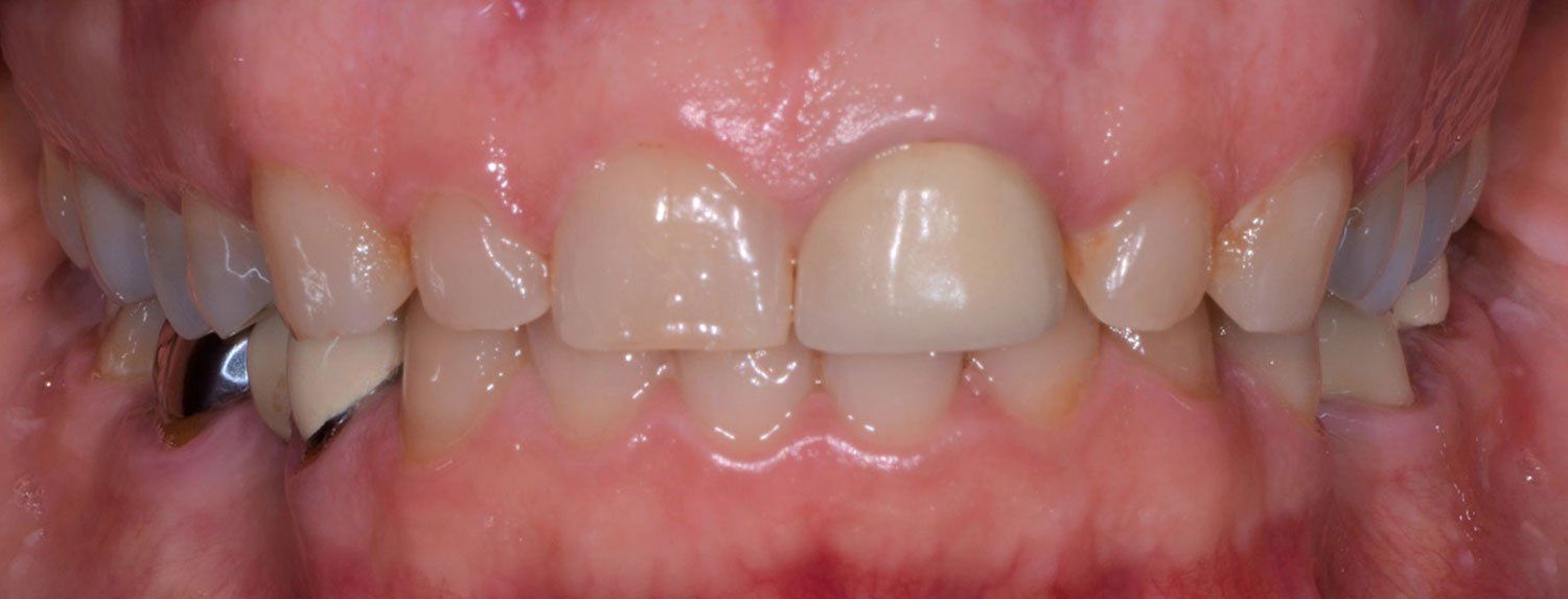
Full Face / Dental Implant

implant before and after

Before & After

implant before and after

Before & After

before and after

Before & After

before and after

Before & After

before and after

Before & After

before and after

Before & After

implants before and after

Before & After

before and after

Before & After

We Save Lives And Teeth!

Request an Appointment