Implant Dentistry
Dental Implants
Consultation*
This appointment includes: Exam by our dentist, necessary x-rays, and a consultation.
*Restrictions apply
Request an Appointment Today!
Implant Dentistry
Smile Restoration with Implants – Arlington, TX
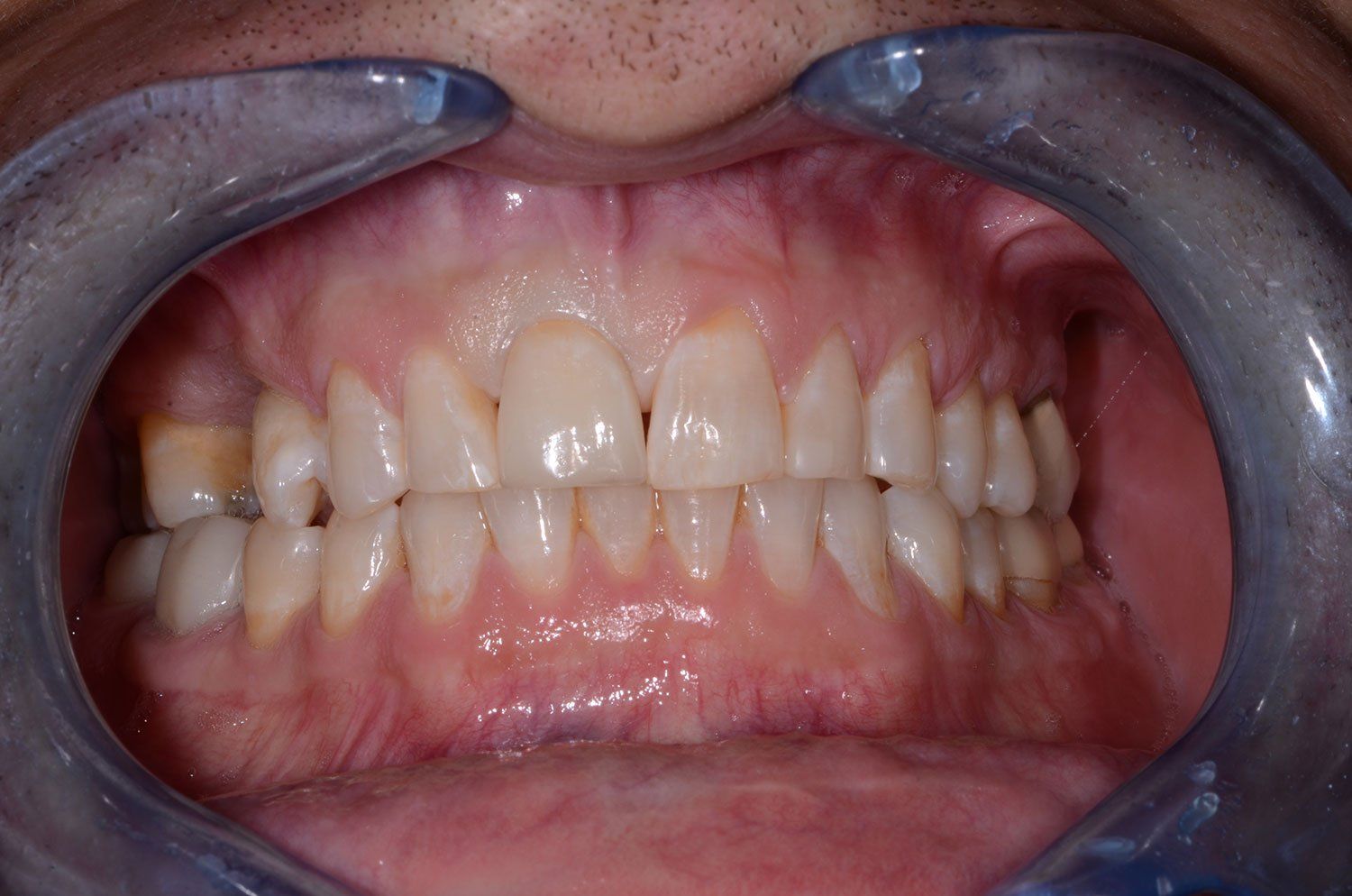
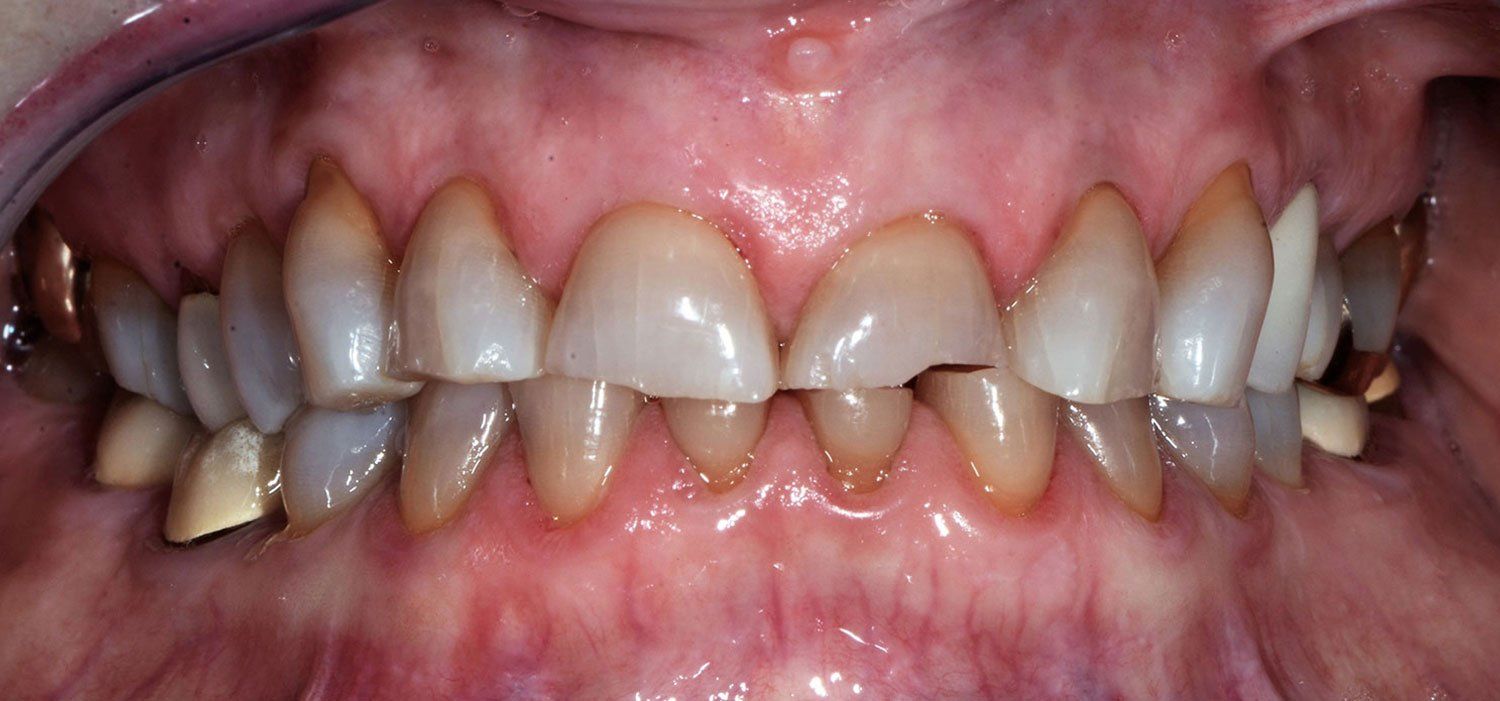
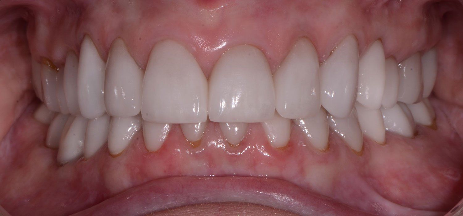
Missing teeth can cause a lot of problems. This condition can make it hard to chew and speak, as well as lead to gum disease and other oral health issues. In the past, most people solved this problem by getting dentures or giving up their favorite foods. Now, you can get custom dental implants that look and function just like your natural teeth.
In addition to restoring appearance, dental implants also help prevent bone loss in the jaw, which often occurs when missing teeth are not replaced. Unlike traditional dentures that rest on the gums, dental implants are surgically placed into the jawbone, making them a long-term solution that can last a lifetime with proper care. The titanium posts used in implants fuse with the bone in a process called osseointegration, creating a stable foundation for chewing, speaking, and smiling with confidence.
Another benefit of dental implants is that they can enhance your overall facial appearance. When missing teeth are left untreated, the jawbone begins to deteriorate, which can lead to a sunken or aged look. With implants, the facial structure is supported, preserving a youthful and healthy appearance. Patients often report not just functional improvement but also aesthetic enhancement after getting dental implants.
What Patients Are Saying About Us!
“Great experience. I’m usually very anxious in dental office, that was not the case here. Everyone was so nice from the front office to the ladies in the back. They are all very personable and made me feel relaxed. The process was very thorough and everything was explained to me as we went along. Highly recommend Dr. Martinson’s office to anyone looking for a new dental office.”
- Randy B.
★★★★★
"Dr. Singh, Denise, Karen, and other staff members were very warm and professional. I was very comfortable and relax during my dental treatments. While waiting in the dental chair for treatment, patient could relax with a view of a beautiful natural landscape with flowers, birds, and squirrels from the window. Definitely recommend to anyone with dental cares and needs."
- Katherine P.
★★★★★
“Dr Heather and Shay took great care of me today. Two crowns and no pain. Also, my smile has improved. I’m scheduling for more crowns. Such a pleasant environment and GREAT staff. Ask for Shay when you come for treatments, you’ll be very pleased with the treatments and the friendly service.”
– Natalie W.
 ★★★★★
Our Implant Dentistry Services
Implant dentistry is a safe, effective procedure that has been used by dentists for years to restore smiles around the world. Whether you are missing one tooth or all of them, Dr. Heather Martinson and her team can give you back your beautiful smile.
We understand that every patient's needs are different. That’s why we offer multiple options to address various levels of tooth loss. Whether you're looking to replace a single tooth, several teeth, or need full-arch rehabilitation, we can customize your treatment to restore your oral health, confidence, and comfort. With cutting-edge technology and a patient-first approach, we ensure your
dental implant journey is as smooth and successful as possible.
- Fixed Implant-Supported Bridges
This type is best to replace one or more missing teeth in a row,
learn more
- Implant-Supported Dentures
This type is best to replace a full upper or lower arch of teeth,
learn more
Second Opinions
This is a quick consultation with x-rays (if needed) to discuss what can be done to improve the health and appearance of your smile.
SECOND OPINION
For Dental Implants
If you are considering implants, take advantage of our Second Opinion Special for Dental Implants.
This appointment includes:
– Exam by our dentist, necessary x-rays, and a consultation.
We offer multiple types of dental implants to meet your needs and budget. Schedule an appointment to discover which type of dental implant is right for you.
What Do Dental Implants Cost?
The dental implants cost includes the abutment, crown, and other materials used to restore your smile. Your insurance and whether you have a dental discount plan will also factor into the dental implant cost.
While pricing can vary depending on your specific treatment needs, our team works closely with patients to ensure clear communication and cost transparency. During your consultation, we’ll provide a detailed estimate based on the number of dental implants you need and the complexity of your case.
Patients often find that the long-term benefits of dental implants—including durability, comfort, and better oral health—make them a worthwhile investment. Unlike bridges and dentures that may need frequent replacement or adjustment, a well-placed dental implant can last decades.
How Are Implants Attached?
Single tooth implant procedure, the screw- or cylinder-shaped implant is placed into your jaw. After your jaw heals and fuses with the implant—usually within two to six months—the natural-looking crown will be attached to the implant.
The procedure is typically performed under local anesthesia, and many patients are surprised at how comfortable and smooth the process is. Once the dental implant has fused with the bone, we add an abutment that connects the implant to the final crown. Your final result is a stable, attractive tooth that mirrors the look and function of your natural teeth.
If you are interested in learning more about how dental implants can replace your missing teeth and restore your smile, contact Dr. Heather Martinson’s office in Arlington, TX. We’re here to guide you through every step of your implant journey with care and precision
Get Your Smile Back with Implant Dentistry
We do both implant placements and restorations at our dental office in Arlington, TX. Ready to get started? Call us at (817) 483-6699 to schedule your consultation today.
Meet Heather E. Martinson, DDS
Dr. Martinson has been serving patients and improving smiles through her work for the past 25 years. She attended both Southern University in Tennessee and the University of Texas at Arlington before earning her Doctor of Dental Surgery at Loma Linda University School of Dentistry in Southern California.
Why Choose Heather Martinson, DDS?
Dr. Heather Martinson is passionate about oral health. For over 25 years, she has helped families in Arlington, TX, achieve healthy smiles and higher quality of life. When you choose Dr. Martinson to take care of your smile, you benefit from her experience and compassionate service.
Patients love Dr. Martinson because she:
- Utilizes the BaleDoneen Method of heart attack and stroke prevention to improve your overall health
- Provides comprehensive exams that are much more thorough than regular dental exams to catch oral health issues early
- Believes “the best dentistry is no dentistry,” and focuses on high-quality prevention and conservative treatment
- Provides same-day crowns “while you wait” so your smile can look and feel its best
- Utilizes state-of-the-art technology to achieve spectacular results for you and your family
Get the Care You Need from Arlington's Most Trusted Dental Team
Don't let dental anxiety prevent you from getting the treatment you need to improve your overall oral health. Give us a call today to schedule your appointment.











